Cabinet dentaire du Dr JAN
Orthodontiste à SAINT CONTEST
3 rue Jane ADDAMS Parc Athéna, 14280 SAINT CONTEST
+33 2 31 43 68 50
Cabinet dentaire du Dr JAN
Orthodontiste à SAINT CONTEST

Blog - Page 17

Traitement multi-attaches

Traitement multi-attaches

Appareil multi-attache lingual

Appareil multi-attache lingual

Le quad helix : traitement du palais et de l’alignement des dents

Le quad helix : traitement du palais et de l’alignement des dents

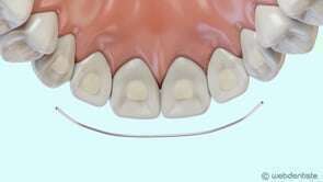
Fil de contention

Fil de contention

Les élastiques de classes ii et iii

Les élastiques de classes ii et iii

Nettoyage des brackets avec brossette interdentaire

Nettoyage des brackets avec brossette interdentaire

Affichage des articles 97-102 sur 106

Création par Webdentiste

Connexion