Cabinet dentaire du Dr JAN
Orthodontiste à SAINT CONTEST
Accueil
Le cabinet
Plan d'accès
Vidéos
Fiches Conseils
Urgences orthodontiques
CONTACT
3 rue Jane ADDAMS Parc Athéna, 14280 SAINT CONTEST
+33 2 31 43 68 50
Cabinet dentaire du Dr JAN
Orthodontiste à SAINT CONTEST
Accueil
Le cabinet
Plan d'accès
Vidéos
Fiches Conseils
Urgences orthodontiques
CONTACT
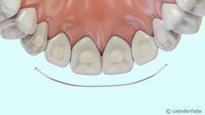
Fil de contention
Vidéos 3D
Partager
Twitter
Partager
Partager
Envoyer
Copier
Cabinet dentaire du Dr JAN
3 rue Jane ADDAMS Parc Athéna
14280
SAINT CONTEST
+33 2 31 43 68 50
Politique de confidentialité et charte cookie
Mentions légales
Conditions Générales Utilisation
Charte déontologique
Ordre national
Annuaires chirurgiens dentistes
Création par
Connexion